Iliac Vein Compression: Patency of Iliac Vein Stent
Authors: Tae An Choi ANP-BC, Back Kim MD, FACC, and Nay Htyte MD, MSc., AACC Heart Vein NYC, New York, NY Percutaneous balloon venoplasty with read more
Just another iHealthSpot WP02 site

Authors: Tae An Choi ANP-BC, Back Kim MD, FACC, and Nay Htyte MD, MSc., AACC Heart Vein NYC, New York, NY Percutaneous balloon venoplasty with read more

Authors: Back Kim MD, Nay Htyte MD & Tae An Choi, ANP-BC Heart Vein NYC, New York, New York Figure 1. Bilateral deep venous decompression read more

Authors: Esad Vucic MD, Back Kim MD, Nay Htyte MD & Tae An Choi, ANP-BC Heart Vein NYC, New York, New York 56 year old Hispanic male read more

Authors: Tae An Choi ANP-BC, Hiral Patel PA-BC, Nay Htyte MD FACC and Back Kim MD FACC. Heart Vein NYC, New York, NY (Figure 1, left) Venous read more

Authors: Back Kim MD, Nay Htyte MD & Tae An Choi, ANP Heart Vein NYC, New York, New York read more

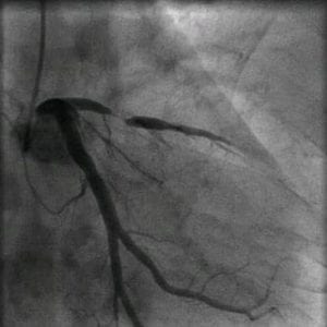
Authors: Back Kim MD, Nay Htyte MD & Tae An Choi, ANP Heart Vein NYC, New York, New York 67-year old male with exertional mid-sternal read more

Authors: Nay Htyte MD, FACC, Back Kim, MD FACC, Esad Vucic, MD, Taean Choi ANP – the HEARTVEINNYC Team Heart Vein NYC, New York, New read more
Copyright © Heart Vein NYC. All Rights Reserved.
HIPAA Policy | Privacy Policy | Sitemap
Medical Website Design and Medical Marketing by Hedy & Hopp.